NETZHAUTOPERATIONEN
Bei fortgeschrittenen Veränderungen der Netzhaut im Rahmen eines Diabetes, bei Netzhautablösungen, Membranen im Bereich der Makula (Gliose) oder bei Glaskörperblutungen ist die Therapie der Wahl die Glaskörperentfernung (pars-plana-Vitrektomie). Die umfassende technische Ausstattung unseres OP-Bereiches, die Unterbringung auf unserer Station unter Aufsicht fachkundig ausgebildeter Schwestern und Pfleger, sowie die Betreuung durch erfahrene Anästhesisten ermöglicht uns die Durchführung modernster Netzhautchirurgie. Hierbei berücksichtigen wir jederzeit sowohl Ihre augenmedizinische Genesung wie auch die Beratung zur Behandlung Ihrer Grunderkrankung.
ALTERSBEDINGTE MAKULADEGENERATION
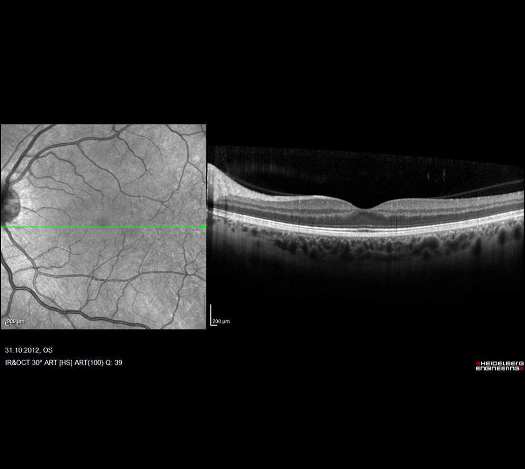
Die Makula ist der zentrale Bereich der Netzhaut, der dem Menschen ein scharfes Sehen ermöglicht. Die altersbedingte Makuladegeneration (AMD) ist eine Erkrankung, bei der die Integrität dieses Netzhautbereichs gestört ist. Dies führt sukzessive zu einer Minderung der Sehkraft. Unterschieden werden die trockene und die feuchte Form.
Bei der feuchten altersbedingten Makuladegeneration kommt es durch die pathologische Bildung von Gefäßen in der Netzhaut zu Flüssigkeitseinlagerungen im Bereich der Makula. Unbehandelt führt dies zu einem in der Regel schnell fortschreitenden Sehverlust. Bei der neueren und aktuellen Behandlung der feuchten AMD wird durch Eingabe von Medikamenten, sogenannten Anti-VEGF in den Glaskörper, der Wachstumsfaktor für die Bildung dieser Gefäße blockiert und somit die Ansammlung von Flüssigkeit in der Netzhaut unterbrochen. Das Ziel ist der langfristigen Erhalt oder die Verbesserung der Sehschärfe. Da es sich in der Regel um eine chronische Veränderung handelt ist eine engmaschige Kontrolle mit Hilfe modernster Diagnostik (optische Koherenztomographie) sowie eine standardisierte, im besten Fall auf den individuellen Verlauf angepasste Behandlung, notwendig.
Während die Diagnostik und die Nachbetreuung in unserer Praxis am Jahnplatz 6 stattfinden, erfolgt der operative Eingriff in der Augenklinik Mara im Evangelischen Klinikum Bethel. In unserem voll ausgestatteten Operationssaal können wir unter Einhaltung aller Hygienestandards sämtliche operative Eingriffe sicher vornehmen und ein höchstes Maß an Versorgungsqualität bieten.






